İl Emniyet Müdürlüğü Narkotik Suçlarla Mücadele Şube Müdürlüğü ekipleri, Nevşehir Cumhuriyet Başsavcılığı koordinesinde, “torbacı” olarak tabir edilen sokak satıcılarına yönelik çalışmalarını sürdürdü.
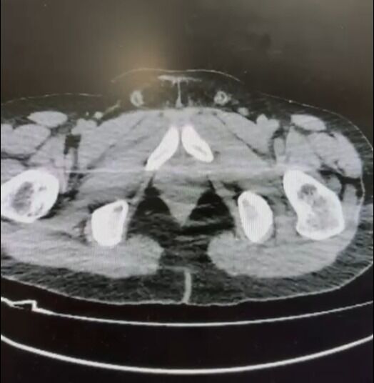
Ekipler, S.B. ve O.R. isimli şüphelilerin “yutma yöntemi” ile kente uyuşturucu madde getireceği bilgisi üzerine harekete geçti. Şüphelilerin konutlarında ve kullandıkları araçlarda yapılan aramalarda
• 101 kapsül halinde 722 gram metamfetamin,
• Hassas terazi
• Uyuşturucu sevkiyatında kullanılan çeşitli materyaller ele geçirildi.
Operasyonda ayrıca uyuşturucu ticaretinden elde edildiği değerlendirilen 20 bin 210 lira, 1320 avro ve 10 dolar da ele geçirildi.
Gözaltına alınan S.B. ve O.R, “uyuşturucu madde ticareti yapmak” suçundan emniyetteki işlemlerinin ardından adliyeye sevk edildi.
Şüpheliler çıkarıldıkları mahkemece tutuklanarak cezaevine teslim edildi.







Next




